新闻内容

当前位置: 首页 > 新闻中心 > 新闻内容 > 正文

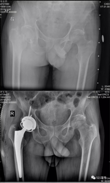
兵器工业521医院完成首例限制性内衬的全髋关节置换手术

点击数: 发布日期:2019-12-27

近日,兵器工业521医院成功完成首例限制性内衬的全髋关节置换手术。目前患者恢复良好。63岁的患者许先生因右侧股骨颈骨折,来到521医院关节外科就诊。患者患脊髓型颈椎病,右侧肢体踩棉花感,肌力弱,无内科基础疾病。若不及时治疗,将严重影响患者生活质量。而且患者相对年轻,活动量大,但右下肢肌力弱,普通的全髋关节置换术后脱位的风险较高。在充分征求患者及家属意见后,经副院长张朝、关节外科主任吴勐及其团队反复仔细讨论,制定手术计划,决定为患者选用限制性内衬的全髋关节置换假体。此假体能满足患者日常生活需求,并可降低术后脱位风险。术后次日,患者即可下地行走。该假体对于相对年轻但下肢肌力较弱的患者,既可满足患者日常生活,又可降低术后脱位的风险,具有极大的医学前景及临床意义。